NEWS
LATEST NEWS
LATEST NEWS
東京慈恵会医科大学腎臓・高血圧内科(野林大幹博士課程学生、神崎剛助教、横尾隆教授ら)および東北医科薬科大学 医学部 衛生学・公衆衛生学教室(目時弘仁教授ら)による共同研究グループは、慢性腎臓病(CKD)患者を対象として、日常診療で得られる血液検査データから骨格筋量を推定する予測モデルを開発しました。本研究成果は、欧州臨床栄養代謝学会(ESPEN)が発行する国際学術誌「Clinical Nutrition ESPEN」に2026年2月8日付けで、オンライン先行公開(Article in Press)されました。
〇研究の意義・背景
慢性腎臓病(Chronic Kidney Disease; CKD)患者では筋肉量の低下が予後や生活の質に影響しますが、骨格筋量の客観的評価にはCT検査などが必要で、日常診療での継続的な評価は困難でした。本研究では、CT測定を基準として、日常的な血液検査データから骨格筋量を推定できるかを検証しました。
〇研究の概要・ポイント
・ 2018年6月〜2024年3月に腎生検を受けたCKD患者111名を対象に実施しました。
・ 第3腰椎レベルのCT画像で測定した骨格筋量を基準とし、血清クレアチニン、シスタチンC、BMIなどを用いて解析しました。
・ クレアチニンとシスタチンCを統合した指標クレアチニン筋肉指数(Creatinine Mass Index; CMI)を含む3項目のみで、骨格筋量を推定できる予測モデルを構築しました。
〇研究成果
構築した予測モデルの決定係数は0.749で、推定値とCT実測値の誤差は10%未満でした。これにより、簡便な血液検査データから骨格筋量を高い精度で推定できることを示しました。
〇今後の取り組み
今後は多施設での検証を進め、CKD外来診療における筋肉量の経時的評価や、非CKD患者に対するサルコペニア・フレイルの早期発見への応用を目指します。

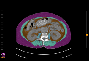
【図】第3腰椎(L3)レベルCT画像を用いた骨格筋量測定図。本図は測定方法を示す目的で掲載しており、論文中の図とは異なる。
(用語解説)
慢性腎臓病(CKD):腎機能の低下または腎障害が3か月以上持続する状態。成人の約5人に1人が該当すると推定されており、進行すると透析療法や腎移植が必要となる場合があります。
サルコペニア: 加齢や疾患に伴う筋肉量の減少と筋力または身体機能の低下を特徴とする症候群。転倒、骨折、要介護状態のリスクを高め、生命予後にも影響を及ぼします。
フレイル:加齢に伴う予備能力の低下により、ストレスに対する脆弱性が亢進した状態。健康な状態と要介護状態の中間段階を指し、適切な介入により健常状態への回復が可能です。
骨格筋指数(SMI): 第3腰椎レベルでのCT画像における筋肉の断面積を身長の二乗で除した値。体格差を補正した筋肉量の客観的指標として国際的に用いられています。
クレアチニン筋肉指数(Creatinine Mass Index; CMI): 血清クレアチニン値とシスタチンCから算出されるeGFRの積。筋肉量を反映する新たな指標として本研究で提唱されました。
タイトル:From Standard Laboratory Parameters to Skeletal Muscle Mass: A Novel Prediction Model for Chronic Kidney Disease.
掲載誌:Clinical Nutrition ESPEN
DOI: 10.1016/j.clnesp.2026.102948
URL:https://www.sciencedirect.com/science/article/pii/S2405457726000434?dgcid=authorhttps://doi.org/10.1038/s41440-023-01451-3
Hiroki Nobayashi, Go Kanzaki, Michihiro Satoh, Aoi Miyashita, Nobuo Tsuboi, Hirohito Metoki, Takashi Yokoo
本研究は、「公益信託タニタ健康体重基金」の助成を受けて実施されました。